2025.11.11
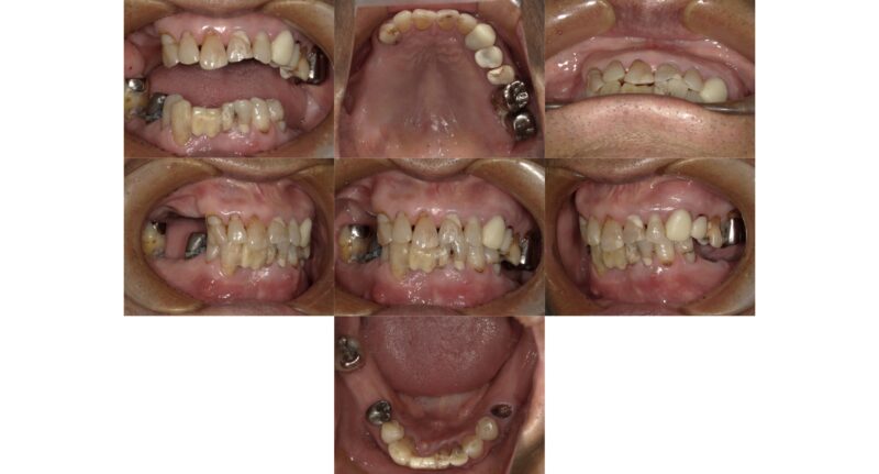
患者は全体的に噛みにくく右上インプラント治療を希望し来院。
まずは虫歯や噛み合わせを治すことをご提案し、その後必要があればインプラント治療を行うことで
了承、治療開始となる。
まず仮の義歯を装着し、虫歯治療、根管治療を行い、仮歯で全体的に噛み合わせを整えた。
最終的には保険治療によるクラウン、義歯によってしっかり噛めるようになったことで、インプラント
治療は必要がなくなった。
インプラント治療を行う前に、まずは痛みを改善しできるだけ噛める状態にする必要があります。
また同時に通常の歯科治療を行い、全体的な問題を改善していきます。
この方のようにしっかり治療をした後で、さらに必要があればインプラントで補綴を行う場合もあれば、
最初から義歯を使用したくないという場合には、インプラントを利用して噛み合わせを整えていきます。
当院ではこの患者のように、インプラント治療希望の方でも、通常の歯科治療で終わってしまう方も
少なくありません。

