症例集
症例集
こころ歯クリニックで実際にインプラント治療を受けられた方の症例写真をご紹介しています。治療前後でどのように改善されるか一目でおわかりいただけますので、お口のお悩みがある方、治療を検討されている方はぜひご参考にしてください。
・すべて当院で治療を完了し、掲載の許可をいただいた患者さまのものです。
・トリミング(切り抜き)などを除き、画像の修正は行なっていません。
・治療はすべて各患者さま固有の症例に対応したものであり、ほかの方への治療結果を保証するものではありません。
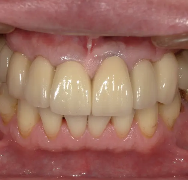
上顎前歯部抜歯即時埋入即時負荷インプラント治療
- 治療名
上顎前歯部抜歯即時埋入即時負荷インプラント治療
- 費用
1,776,500円(税込)
- 費用内訳
インプラント3本:1,512,500円(税込)
天然歯2本:264,000円(税込)
- 期間
6ヵ月
- 通院頻度・回数
月1~2回
- 治療内容
【患者さまの症状】 前歯が折れて歯肉が腫れている。
※治療結果は個人差があります。
【治療法】 仕事上、歯がない期間があると困るとの訴えで、前歯を抜歯するのと同時にインプラントを埋入する。
さらに手術当日に仮歯を装着し、歯がない期間を回避した。
審美性や噛み合わせを調整した後、最終補綴物を装着した。
そのほかの部位については紹介医での処置後であったため、当クリニックでは上顎前歯部のみの処置とした。
【治療結果】 歯がない期間がなかったこと、審美的にも満足していただいた。
- リスク・副作用
手術時にインプラントの初期固定が得られない場合は即時負荷での対応が困難となる。
またインプラント体に感染が及ぶおそれがある。






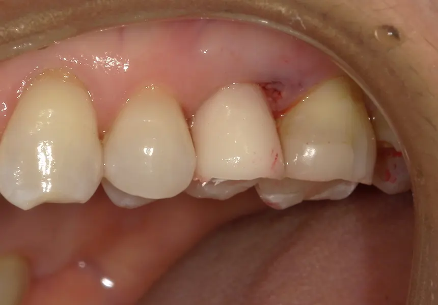
小臼歯部抜歯即時埋入即時負荷インプラント治療
- 治療名
小臼歯部抜歯即時埋入即時負荷インプラント治療
- 費用
341,000円(税込)
- 期間
2ヶ月
- 通院頻度・回数
7回
- 治療内容
【患者さまの症状】 他院で治療中の歯の痛みが取れない。歯根が折れていたため抜歯となる。
※治療結果は個人差があります。
【治療法】 近医から上顎洞底挙上術の依頼であったが、低侵襲の処置で対応可能であった。
患者は早期の機能回復を望んだため、抜歯即時埋入、即時負荷で対応した。
手術当日に仮歯を装着し、早期に最終補綴物を装着した。
【治療結果】 通常よりかなり早期に処置を終了することができ、機能的、審美的に良好な結果に患者も満足して頂いた。
- リスク・副作用
インプラント体埋入時に上顎洞底を穿孔するリスクがある。



上顎臼歯部に骨量が不足していた症例
- 治療名
上顎臼歯部に骨量が不足していた症例
- 費用
2,883,600円(税込)
- 治療内訳
インプラント7本
- 期間
3年2ヵ月
- 通院頻度・回数
月1~2回
- 治療内容
【患者さまの症状】 上下臼歯部欠損、重度歯周病あり。
※治療結果は個人差があります。
インプラント治療を含めた欠損補綴処置を希望し、近医より紹介来院。
【治療法】 まず通常の義歯を製作し、保存困難であった大臼歯を抜歯した。
患者は手術に対する恐怖心が強く、まず比較的侵襲の少ない下顎から処置を開始した。
その後上顎もインプラント治療を希望したため、上顎洞底挙上術に併せて左側のインプラント治療を行なった。
仮歯が入ったところで、続いて右側も同様に処置を行なった。
上下インプラントの仮歯でしっかり噛め、問題がないことを確認し、最終補綴装置を製作した。
【治療結果】 患者の希望で、部分的に噛めるようになってから、次の部位へと進んだため、終了まで期間が長くなったが、しっかり噛めるようになったことに非常に満足していただいた。
- リスク・副作用
上顎洞底挙上術は、洞粘膜穿孔により感染のリスクがある。


リスク・副作用
インプラント治療にともなう一般的なリスク・副作用
・機能性や審美性を重視するため自費(保険適用外)での診療となり、保険診療よりも高額になります。
・インプラントの埋入にともない、外科手術が必要となります。
・高血圧症、心臓疾患、喘息、糖尿病、骨粗鬆症、腎臓や肝臓の機能障害などがある方は、治療を受けられないことがあります。
・手術後、痛みや腫れが現れることがありますが、ほとんどの場合1週間ほどで治ります。
・手術後、歯肉・舌・唇・頬の感覚が一時的に麻痺することがあります。また、顎・鼻腔・上顎洞(鼻腔の両側の空洞)の炎症、疼痛、組織治癒の遅延、顔面部の内出血が現れることがあります。
・手術後、薬剤の服用により眠気、めまい、吐き気などの副作用が現れることがあります。
・手術後、喫煙や飲酒をすると治療の妨げとなるので、1週間は控えてください。
・インプラントの耐用年数は、口腔内の環境(骨・歯肉の状態、噛み合わせ、歯磨きの技術、メンテナンスの受診頻度、喫煙の有無など)により異なります。
・毎日の清掃が不十分だった場合、インプラント周囲炎(歯肉の腫れや骨吸収など)を引き起こすことがあります。
ブリッジの作製・使用にともなう一般的なリスク・副作用
・内容によっては自費(保険適用外)となり、保険診療よりも高額になります。詳細は歯科医師にご確認ください。
・失った歯の両隣の健康な歯を削る必要があります。
・支えになる歯に負担がかかり、将来的にその歯を失う可能性が高くなります。
・奥の場合は金属でしか対応できません。
・連続して歯を失っている場合、治療できないことがあります。
・ブリッジと歯肉との間に食べ物のかすが詰まりやすいので、口の中の衛生状態を保つことが難しくなります。
・顎骨の吸収を抑制できません。
入れ歯の作製・使用にともなう一般的なリスク・副作用
・内容によっては自費(保険適用外)となり、保険診療よりも高額になります。詳細は歯科医師にご確認ください。
・入れ歯を固定するため、患者さまの同意を得てから残存歯を削ったり抜歯したりすることがあります。
・使用直後は、口腔内になじむまで時間がかかることがあります。
・事前に根管治療(神経の処置)や土台(コア)の処置が必要となることがあります。
・入れ歯を装着していない時間が長いと、残存歯の傾きや損失、歯槽骨(歯を支える骨)の吸収などが起こることがあります。
・咬合が変化したり、固定源である残存歯が削れたり抜けたりした場合は、入れ歯の調整・修理が必要になることがあります。
・金属を使用する入れ歯では、金属アレルギーを発症することがあります。
・使用方法などにより、破損することがあります。
・定期的な検診・メンテナンスが必要です。
骨造成にともなう一般的なリスク・副作用
・機能性を重視するため自費(保険適用外)での診療となり、保険診療よりも高額になります。
・外科手術が必要となります。
・手術後、痛みや腫れが現れることがありますが、ほとんどの場合1週間ほどで治ります。
・治療後、骨がしっかりと作られるまで3~6ヵ月の治癒期間が必要です。
・歯周病の方、心疾患や骨粗鬆症など内科的な疾患のある方は、骨造成治療が適さないことがあります。
・口腔内の衛生状態の悪い方、顎骨が足りない方、免疫力や抵抗力が低下している方、歯周病発生リスクの高いとされる糖尿病の方、喫煙する方は、すぐに治療できないことがあります。
・日常的に服薬しているお薬などが治療に影響することがあります。
・サイナスリフト・ソケットリフトの処置にあたり、上顎洞膜が破れる可能性があります。その場合、手術後に抗生剤を服用して感染を予防し、膜が自然に治癒するまで待ちます。
・体の状態や細菌感染により、骨補填材と骨とが結合しない場合があります。この場合、原因を取り除き、ご希望があれば再治療を行ないます。
・骨の成長途中であるお子さま(おおよそ18歳未満の方)、妊娠中の方は治療が受けられません。